初めて来られる患者さんへ
歯科医院へは、虫歯などの病気になってから通う方が多くいらっしゃいます。しかし一度失われた歯の組織は元に戻ることはなく、どんなに優れた治療をしたとしても元の健康なご自身の歯に勝るものはありません。そのため虫歯や歯周病にならないための「予防」が大切です。
メディカルトリートメントモデル(MTM)は、患者さまの年齢や口内の状態、生活スタイルに合わせて効果的な予防をするためのプログラムとなっています。
鎌ヶ谷駅直結の歯科医院各種相談も受付中
HOME ≫ MTM予防プログラム ≫
歯科医院へは、虫歯などの病気になってから通う方が多くいらっしゃいます。しかし一度失われた歯の組織は元に戻ることはなく、どんなに優れた治療をしたとしても元の健康なご自身の歯に勝るものはありません。そのため虫歯や歯周病にならないための「予防」が大切です。
メディカルトリートメントモデル(MTM)は、患者さまの年齢や口内の状態、生活スタイルに合わせて効果的な予防をするためのプログラムとなっています。
虫歯の治療をした歯は、虫歯の治療をしていない歯より虫歯になりやすくなります。また、歯周病で歯を抜くと、残っている歯に負担がかかり、歯周病が進行しやすくなります。一度治療が終了しても油断は禁物!健康な状態を維持するためにはその人に合った定期的なメンテナンスが非常に重要です。
それぞれの人がかかりやすい疾患や、その原因を、正確に審査、診断することから治療、予防の第一歩が始まります。年齢、歯の部位、細菌の種類と数、唾液や歯の性質など、いくつかの要素が重なった時に歯や歯周組織の病気にかかります。予防はその危険度に応じて、危険性のある部位や全身の状態などを知った上で行う事が効果的です。
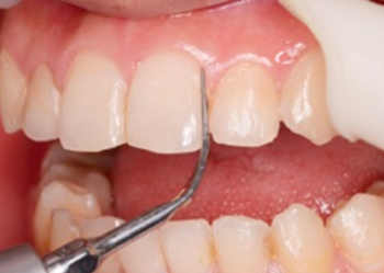
直接肉眼で見ることのできない問題を確認するため。
歯の中や歯と歯の間、詰め物やかぶせ物下、歯周病の状態を確認します。
レントゲンでは映らない歯並びの状態、プラークコントロールの状態、歯の色調や形態を観察する事ができます。
歯周病の進行度の計測。
目盛りのついた器具を用いて、歯周ポケット(歯茎の溝)の深さを測る検査です。
歯周病の炎症性因子の減少又は除去を目的とする処置。歯周病検査等の結果に基づき必要があると認められる場合に行います。
歯を失う90%の原因で、歯の二大疾患であるう蝕と歯周病。そのう蝕や歯周病を発症する前の潜伏期、またはごく初期の病気のうちに発見し、治療と予防をすれば、自分の歯を生涯、健康に保つ可能性が高くなります。
そこで、私たちは、科学的できめ細な診断をしたうえで必要であれば最小限の治療を行い、予防の為の目標と方法を具体的なプログラムとして作成します。
それぞれの患者さんのリスクと、効果的な予防法を把握したうえで、専門の歯科衛生士が口腔内の健康を維持するために、う蝕や歯周病の原因であるバイオフィルムを破壊、除去し、継続的な管理を行っていきます。

〒273-0113
千葉県鎌ヶ谷市道野辺中央2-1-10
TEL.080-4785-3907
| 診療時間 | 月 | 火 | 水 | 木 | 金 | 土 | 日 |
|---|---|---|---|---|---|---|---|
| 9:00~13:00 | ● | ● | ● | - | ● | ● | - |
| 14:30~18:30 | ● | ● | ● | - | ● | ● | - |
※最終受付18:00
休診日:木曜・日曜
鎌ヶ谷駅直結の歯科医院です
改札出て目の前!東武ストアさんの横にあります
お車でお越しのお客様に割引券をお渡し致しますのでご来院の際はスタッフまでお申し付けください
スマートフォンからのアクセスはこちら